A Nivaria é uma cadela adorável que veio à consulta em Janeiro de 2013, devido a problemas de pele que segundo a proprietária não curavam. Nessa altura tinha quatro anos de idade e era de raça indeterminada, tamanho médio, não castrada. Vivia dentro e fora de casa, num ambiente rural, em contacto com uma grande variedade de animais tais como vacas, cavalos, ovelhas, galinhas, coelhos, gatos e outros animais selvagens. Os coelhos encontravam-se curados, mas havia cerca de três meses tinham tido sarna. Os donos não apresentavam qualquer lesão na pele.
A proprietária contou que tudo começou em Setembro de 2012. As lesões apareceram primeiro nas patas traseiras e cauda estendendo-se mais tarde para o focinho, região periorbital e orelhas. Tais lesões eram acompanhadas de muito prurido. Antes de vir à consulta havia sido examinada e medicada por três veterinários, fazendo tratamento contra a sarna e piodermas, mas as lesões continuaram a aumentar. Passou a comer pouco e a ficar apática, embora quase não tenha perdido peso.
Ao examiná-la encontrei-a muito prostrada, letárgica, com mucosas pálidas e gânglios linfáticos inchados. As lesões na pele eram evidentes e denotavam alopecia simétrica na cara, focinho, zona periorbital, pavilhão auricular, bem como necrose na ponta das orelhas e ponta da cauda, úlceras na ponta das orelhas e junção muco-bucal, bem como descamação seca esfoliativa de cor prateada por todo o corpo. O pelo desprendia-se muito facilmente.
Diagnóstico
À vista desarmada e devido à grande variedade de lesões dérmicas, o meu diagnóstico diferencial foi vasto. Desde Sarna Sarcóptica, Demodicose, Vasculite, Adenite Sebácea, problemas de Descamação, Lupos Eritematoso, etc… e embora estivesse numa região (norte de Espanha) onde aparecem muito poucos casos, considerei também a Leishmaniose. Como em quase todos os casos de dermatologia, os primeiros métodos de diagnóstico que utilizo são o tricograma e a citologia. Neste caso fiz aposição das lesões cutâneas e também citologia por aspiração com agulha fina dos nódulos linfáticos popliteos.
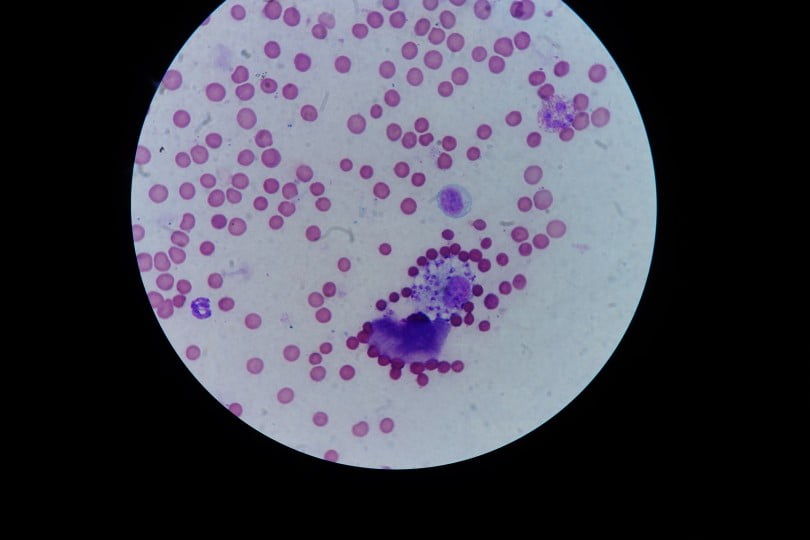
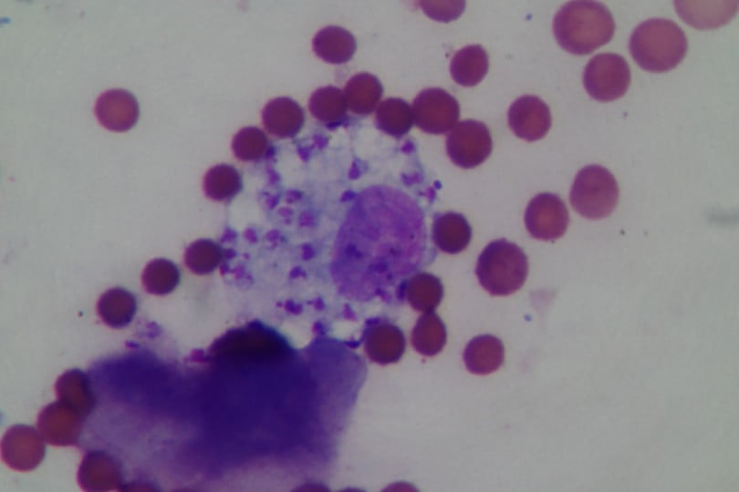
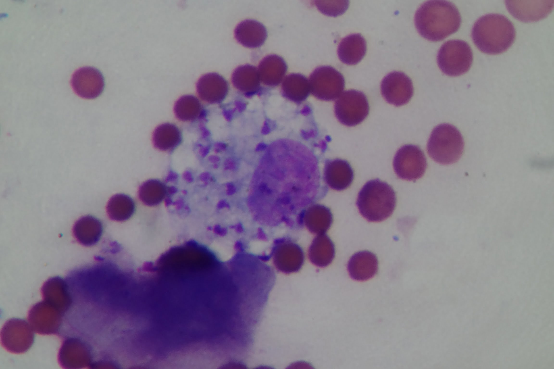
O tricograma foi negativo a sarnas e a dermatófitos, sendo de destacar que grande parte das raízes estavam em fase de anagem o que, juntamente com as pontas finas dos pelos, nos indicava que o pelo caía por morte capilar e não por o animal se coçar como comentavam os proprietários. Na citologia cutânea encontrei um grande número de neutrófilos e macrófagos junto com bactérias (coccos) e leveduras (malassezia). Quando realizei a citologia dos gânglios linfáticos encontrei grande número de estruturas pequenas (2-5mm) ovaladas, com um núcleo escuro bem definido e um kinetoplasto separado disposto perpendicularmente. Algumas destas estruturas encontram-se livres e outras fagocitadas dentro de macrófagos. Tratava-se sem dúvida de amastigotes de Leishmania infantum.
Todos conhecemos casos de Leishmaniose pois infelizmente é uma doença muito comum em Portugal. Embora já estejamos habituados a distinguir facilmente os sintomas aparentes dos nossos pacientes, sabemos que é indispensável confirmar o diagnóstico com algum método para podermos partir para um tratamento. É neste ponto que quero fazer uma pausa de reflexão. A peculiaridade deste meu caso é sem dúvida o método utilizado para o diagnóstico, visto que não é frequente diagnosticar casos de leishmaniose através de citologia. São bastante mais frequentes a análises serológicas ou testes rápidos de ELISA.
No entanto, a citologia é um método muito fácil, rápido e barato. Apenas necessitamos de um microscópio, tincões diff-quick e alguma habilidade por parte do médico veterinário. Dedicando apenas dez minutos do nosso tempo, poderemos facilmente identificar os tão famosos amastigotes. O maior inconveniente desta técnica é a sua baixa sensitividade, apenas encontraremos amastigotes em 30%-50% dos animais afetados em citologias de gânglios linfáticos e 50%-70% em citologias da medula óssea. Por outro lado temos uma especificidade de 100%, eliminando a possibilidade de falsos positivos, o que pressupõe uma vantagem frente à serologia e testes rápidos de ELISA, dos quais dificilmente diferenciamos os animais com infeções ativas dos animais infetados anteriormente e entretanto recuperados, ou animais que estiveram em contacto com o parasita, mas que são assintomáticos. Isto é particularmente vantajoso em zonas endémicas como a nossa (Portugal, Lisboa), donde cerca de 20% dos animais podem ser seropositivos, mas na realidade são assintomáticos que não desenvolverão a doença.
Conclusão
Este caso teve um final triste porque devido aos poucos meios e uma “má experiencia anterior” a proprietária não quis fazer analítica bioquímica e partir para um tratamento. Na altura apenas pude prescrever antibioterapia contra a pioderma e, devido à possibilidade de o fígado estar afetado, somente champô para a Malassezia. No entanto apenas com este tratamento podemos ver nas fotografias uma melhoria evidente passadas três semanas. O prurido havia praticamente desaparecido e embora as lesões melhorassem notoriamente (porque curámos as infeções secundárias) sabemos que a doença estava a progredir.
Para fazer um resumo, aconselho utilizar a citologia como método de diagnóstico para casos que suspeitemos de leishmaniose. Apenas devemos ter em conta que, no caso de não encontrarmos amastigotes de Leishmania infantum, não poderemos descartar a suspeita desta doença. De todas as formas, devido à simplicidade, rapidez e baixo custo desta técnica acho que vale sempre a pena tentar, pois por esta via poderemos conseguir um diagnóstico rápido e assertivo.






















